Why many people think they don’t need a dental filling SG recommended until it is too late?
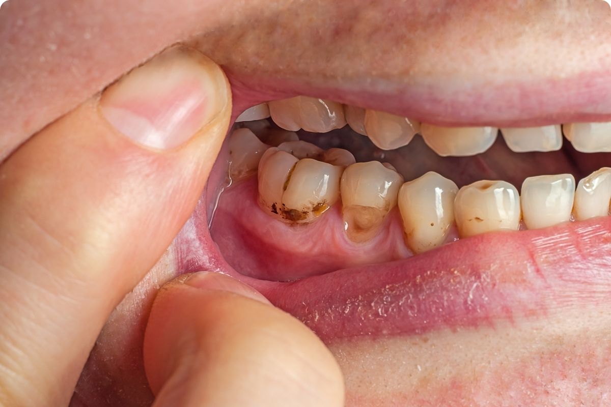
Many people in Singapore think that as long as they don’t feel pain, their teeth are perfectly fine. We are all busy with work and family, so we tend to ignore the small things. Actually, the real problem is that tooth decay usually doesn’t hurt until it is very deep. By the time you feel that sharp twinge while eating your favorite dessert at a Hawker center, the damage is already quite advanced. People often wait for a sign of pain, but that is actually the worst strategy for your health and your wallet. Searching for a dental filling SG recommended early is the smartest way to manage your oral health. Many locals believe they are saving money by skipping the dentist, but they are actually inviting a much bigger bill later.
A small cavity can be fixed quickly and easily. If you wait until it “feels” like a problem, you might be looking at a much more serious situation. Don’t let the lack of pain fool you into thinking everything is okay with your smile.
🔴 Quick Read

Many people believe that dental work is always painful and scary
The biggest misconception we hear is that dental work is a nightmare of pain. People always ask, does dental filling hurt in SG? They imagine a scene from an old movie with scary drills and lots of discomfort. Actually, modern dentistry is nothing like that anymore. Dentists today use very effective numbing methods that make the whole process almost unnoticeable. Most patients find that the most uncomfortable part is simply keeping their mouth open for a while.
The real issue is not the treatment, but the anxiety people carry from the past. If you find the best place for adult dental filling in Singapore, you will realize that the experience is quite straightforward. Most clinics focus on making you feel relaxed. Many office workers even opt for a same-day dental filling in Singapore during their break because it is so fast and efficient. Once the numbness wears off, you can go right back to your routine without any drama.
| Myth | The Real Truth | Why It Matters |
|---|---|---|
| Fillings are only for big holes | Even tiny spots need fixing early | Prevents decay from spreading deep |
| Fillings always look ugly/black | Modern resin matches your tooth color | Keeps your smile looking natural |
| Dental work costs a fortune | Basic fillings are quite affordable | Cheaper than a root canal later |
Why the dental filling cost in Singapore is actually a huge long-term saving
Many people think that the dental filling cost in Singapore is too high for a “small” repair. They try to compare it to the price of a meal or a new gadget. Actually, the real value of a filling is the massive cost it prevents in the future. The debate of SG dental filling vs root canal treatment is a perfect example. A filling is a minor expense that takes less than an hour. A root canal is a multi-visit process that costs significantly more. By paying for a filling now, you are literally saving thousands of dollars later.
If you are worried about the budget, you should look for a SG CHAS dental filling dentist. Many residents don’t realize how much their CHAS subsidies can cover. These subsidies make it much easier for families and seniors to get the care they need without stressing over the bill. When you ask how much is a dental filling per tooth in Singapore, you should also check how much your subsidy will offset. You might find that the final price is much lower than you expected.
Correcting the idea that any dentist will give the same results
Another common mistake is thinking that all dental fillings are the same. Some people just go to the nearest clinic without checking any SG dental filling clinic reviews. Actually, the skill of the dentist and the quality of the material make a huge difference in how long the filling lasts. You want a composite dental filling recommendation in Singapore that uses high-grade resin. This ensures the filling bonds well to your tooth and doesn’t leak or fall out after just a year.
Finding a SG dental filling dentist recommendation from people you trust is important. A good dentist will explain why they are choosing a certain material and how to take care of it. They won’t just rush you in and out. They will make sure your bite feels right and that the color matches perfectly. Quality work saves you from having to do the same job twice, which is the best way to keep your dental costs low over time.

Finding the right help for your dental filling SG recommended needs
It can be hard to know which clinic to trust when there are so many options in Singapore. You see ads everywhere, and everyone claims to be the best. In such situations, platforms like UDS Dental usually play a more supportive role. They help take the confusion out of the process by providing clear information and helping patients find the right fit for their needs. This kind of assistance makes it much easier for busy locals to handle their health without feeling overwhelmed.
UDS Dental understands that Singaporeans value efficiency and honesty. Whether you are looking for a reliable check-up or a specific UDS dental filling service, they focus on making the journey smooth for you. They understand that you have a life to live and don’t want to spend all day worrying about your teeth. By focusing on quality and patient care, they help ensure that your trip to the dentist is a positive step toward a healthier life.
Why choosing a dental filling SG recommended now is better than waiting for pain
In the end, your dental health is in your own hands. Don’t let myths about pain or costs keep you away from the clinic. A dental filling SG recommended is a simple, effective, and affordable way to protect your smile for years to come. It is much easier to fix a small problem today than to deal with a big emergency tomorrow.
🚫 Stop believing these dental filling myths today!
Debunking common misconceptions about SG oral care.
